How We Diagnose and Treat Tendon Pain at Barr Center



If you are searching for tendonitis treatment in Virginia Beach, this guide explains what tendonitis is, why it develops, and how we treat it at Barr Center for Innovative Pain & Regenerative Therapies.
What Is Tendonitis?
Tendonitis is irritation or inflammation of a tendon, the thick fibrous cord that connects muscle to bone.
It typically develops from:
- Repetitive overuse
- Sudden increases in activity
- Biomechanical imbalance
- Joint instability
Simple Definition
Tendonitis is inflammation or irritation of a tendon caused by overuse, repetitive strain, or biomechanical stress. It can lead to pain, stiffness, and reduced function near a joint.
Common Types of Tendonitis
We frequently treat:
- Rotator cuff tendonitis
- Tennis elbow (lateral epicondylitis)
- De Quervain’s tendonitis
- Golfer’s elbow (medial epicondylitis)
- Patellar tendonitis (jumper’s knee)
- Achilles tendonitis
- Hamstring tendonitis
- Gluteal tendinopathy
Many cases are mislabeled as simple inflammation when the problem is actually tendinosis, which is a degenerative tendon condition.
Tendonitis vs. Tendinosis
This distinction matters.
| Tendonitis | Tendinosis |
| Inflammatory | Degenerative |
| Acute | Chronic |
| Swelling present | Collagen breakdown |
| May improve with rest | Often requires regenerative support |
Key Insight
Chronic tendonitis is often really tendinosis, meaning the tendon has weakened and degenerated rather than staying inflamed.
This is one reason repeated cortisone injections often fail long term.
Symptoms of Tendonitis
- Pain near a joint
- Tenderness to touch
- Morning stiffness
- Pain with activity
- Weakness
- Thickening of the tendon
Pain may improve with movement at first but worsen after activity.
How We Diagnose Tendonitis at Barr Center
At Barr Center, we use a precision-based approach.
Detailed Clinical Evaluation
We assess activity patterns, biomechanics, injury history, and contributing instability.
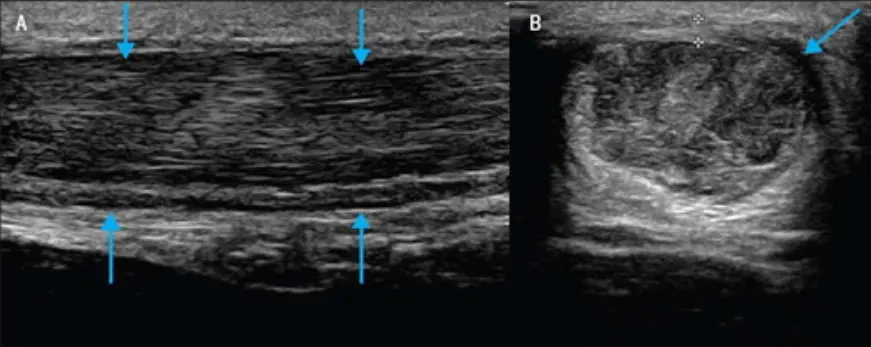
Musculoskeletal Ultrasound
Ultrasound allows us to see:
- Tendon thickening
- Micro-tears
- Degeneration
- Calcifications
- Neovascularization
This helps us distinguish active inflammation from structural breakdown.
Root-Cause Assessment
We evaluate:
- Joint instability
- Joint biomechanics
- Movement dysfunction
- Core or scapular weakness
- Hormonal influences
- Nutritional contributors
Tendon overload rarely happens in isolation.
How We Treat Tendonitis in Virginia Beach
Our philosophy is simple: calm irritation, restore structure, and improve load tolerance.
Activity Modification and Load Management
Early care often includes:
- Adjusting aggravating movements
- Correcting biomechanics
- Guided rehabilitation
Complete rest is rarely the answer. Controlled loading usually works better.
Regenerative Medicine and Peptides to Support Healing
For chronic or degenerative cases, we may recommend:
Platelet-Rich Plasma (PRP)
PRP uses your body’s own growth factors to stimulate tendon repair.
Prolotherapy
Prolotherapy helps stimulate collagen strengthening in weakened connective tissue.
Orthobiologic Therapies
These therapies support cellular signaling and tissue regeneration.
Snippet-Optimized Statement
PRP is one of the most effective regenerative treatments for chronic tendonitis because it helps stimulate natural healing and collagen repair.
Precision-Guided Injections
All injections are performed under ultrasound guidance for accuracy and safety.
This helps provide:
- Precise placement
- Reduced complication risk
- Improved outcomes
Stability and Strength Retraining
Tendons fail when load exceeds capacity.
We focus on:
- Eccentric strengthening
- Isometric loading
- Joint stabilization
- Core and scapular control
Long-term relief requires improved tendon resilience.
Nervous System Optimization
Chronic tendon pain can become sensitized.
We address:
- Stress physiology
- Sleep quality
- Inflammatory drivers
Healing often improves when systemic stress goes down.
Why Cortisone Is Not Always the Answer
While steroid injections may temporarily reduce inflammation, they can also:
- Weaken tendon structure
- Delay healing
- Increase the risk of rupture with repeated use
At Barr Center, we prioritize regenerative strategies when appropriate.
When to Seek Treatment
You should schedule an evaluation if you have:
- Tendon pain lasting more than 6 weeks
- Recurrent flare-ups
- Pain limiting athletic performance
- Failed physical therapy
- Worsening weakness
Early intervention can help prevent chronic degeneration.
Tendonitis Treatment in Virginia Beach
If you are searching for a specialist in Virginia Beach who treats:
- PRP for tendonitis
- Achilles tendon treatment
- Golfer’s elbow or tennis elbow treatment
- Rotator cuff tendonitis or tendon tear treatment
- Gluteal tendonitis or tendon tear treatment
- Chronic tendon pain
Barr Center provides advanced regenerative orthopedic care tailored to your condition.
Key Takeaway
Tendonitis is not always just inflammation. It is often a sign of tendon overload and structural weakening. Effective treatment usually requires precise diagnosis, guided load restoration, and regenerative support when needed.
The best long-term outcomes rarely come from repeated steroid injections. We can help you take a more thoughtful approach.